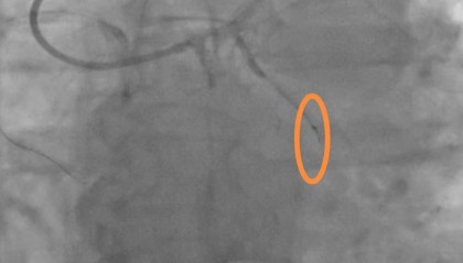
老人手术时导丝断裂掉进血管 医院:外科取出意义不大,补偿8000元
封面新闻记者 石伟 9月28日,河南汝州的高女士反映,她的父亲在河南省胸科医院手术时,手术用的导丝末...
欧意交易所 2025-09-29 7